Microplásticos en el ovario: lo que la ciencia acaba de descubrir
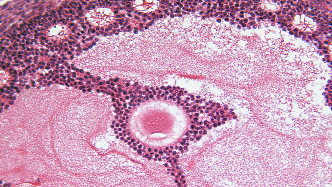
Por primera vez, Luigi Montano, investigador de la Universidad de Roma y autor principal del estudio, ha detectado microplásticos en el líquido folicular del ovario humano.
Este líquido es clave para la maduración del óvulo, y su contaminación con partículas plásticas puede tener consecuencias aún desconocidas, pero preocupantes, en la fertilidad femenina.
¿Qué son los microplásticos y cómo llegan hasta allí?
Los microplásticos son partículas menores de 5 mm que se encuentran en el aire, el agua, los alimentos… y también en productos de higiene diaria. Entre las vías de entrada más sensibles, destaca la mucosa vaginal, que tiene una alta capacidad de absorción.
Según estudios anteriores, los productos menstruales convencionales pueden contener plásticos, dioxinas y otros químicos potencialmente disruptores endocrinos.
¿Qué podemos hacer?
• Apostar por productos 100% orgánicos, sin plásticos ni tóxicos
• Evitar compresas y tampones convencionales sin transparencia de ingredientes
• Elegir marcas con compromiso real con tu salud (como MyAlma 💜)
Cuidar tu menstruación también es cuidar tu salud reproductiva.
En MyAlma, creemos en una menstruación segura, informada y libre de tóxicos. Y este estudio nos recuerda por qué.
👉 Lee el artículo completo aquí
👉 Conoce nuestros productos conscientes y sin plásticos
